请输入关键字
top
您现在的位置:
正文
宽街·明医说 | “超”神奇!“声”入探秘,带您探秘身体的“全能侦察兵”
发布时间:2025-12-15 作者:超声医学科 包晶晶

提到超声检查,您是否立刻想到那团凉凉的凝胶和看不懂的黑白图像?其实,这是一项完全没有辐射的“绿色”检查技术。今天,就带您揭开超声检查的神秘面纱。

超声:人体的“智能回声定位”

超声就像海豚的回声定位系统。仪器发出人耳听不见的安全声波,这些声波在体内遇到不同组织会产生不同“回声”,经计算机处理形成实时动态图像。这项技术无辐射、无创伤,孕妇和婴幼儿都可安全使用。

from clipboard

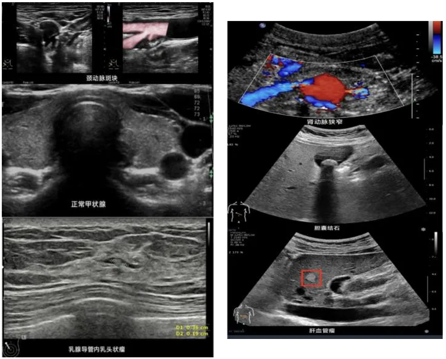
超声:身体的“全能侦察兵”

1.腹部超声检查:这是最广为人知的检查项目,堪称“基础款”,肝、胆、胰、脾、双肾等,排查脂肪肝、结石、肿瘤等,需要空腹进行,以保证图像清晰。另外,还有胃充盈超声检查,可以清晰地显示胃壁层次结构以及病变,是胃镜的较好补充检查方法。

2.浅表器官超声检查:甲状腺、乳腺筛查结节的首选方法,评估涎腺(腮腺、颌下腺)、淋巴结、男性睾丸与附睾等。

3.血管超声检查:血管的“交通督察”,动脉:看有无斑块(动脉硬化)、狭窄或堵塞。静脉:看有无血栓、静脉曲张及瓣膜功能。是无创诊断血管疾病的“利器”。

4.心脏超声检查:实时查看心脏结构与功能,观察心脏大小、心肌厚薄、瓣膜开合情况、心内血流速度与方向,以及心脏的收缩与舒张功能。

5.妇产超声检查:宝宝与女性健康的“守护者”,这是超声应用的另一个重要领域,从早孕确认孕囊位置,到监测胎儿生长发育、筛查结构异常,再到产前评估,全程保驾护航。检查子宫、卵巢,诊断子宫肌瘤、子宫内膜病变、卵巢囊肿与肿瘤等。早孕期或经腹部检查需要憋尿;经阴道超声则无需憋尿。

6.肌肉骨骼超声检查:应用高频超声探头对肌肉、骨骼周围软组织进行精细检查,评估有无肌腱撕裂(如肩袖损伤)、肌肉拉伤、韧带扭伤、关节炎、滑膜炎、神经卡压(如腕管综合征)等。

from clipboard

超声检查注意事项

1.空腹与憋尿:查肝胆胰脾以及胃充盈超声检查需空腹8小时;经腹部妇科、泌尿系、早孕检查需憋尿

2.宽松着装:便于暴露检查部位,颈部超声检查时,需摘去除脖子上的饰品

3.耦合剂:无毒无害的“传声桥梁”,一擦即净

4.放松身心:配合医生指令,确保检查顺利。

超声报告最终诊断需要临床医生结合全面情况做出。如有异常发现,医院会第一时间与您沟通。

from clipboard